診療案内
SERVICE
0歳から高齢者まで生涯にわたって健康づくりのお手伝いをしています
当院は患者様にとって安心安全な歯科医療環境を提供できる設備・装置・器具などを有しており、虫歯や歯周病の重症化予防・定期管理(メインテナンス)を行っています。
また、乳幼児期からのお口の機能を正しく育てるためのサポートや、50代からのお口の機能の低下を予防するためのサポートを行っています。
通院が困難になった患者様には訪問診療を行い、生涯にわたりお口の健康管理を行います。
そして、生活習慣病や骨粗鬆症などの全身疾患をお持ちの患者様の場合は、医科の先生との連携を図り、緊急時や専門性の高い治療が必要な場合は、地域の高度医療機関と連携を図って対応しております。
予防歯科・メインテナンス
お口を健康に保つことは、全身の健康を守ることにつながります。
ご自分の歯で美味しく食事ができることは、身体を健康に保つだけでなく、毎日の喜びにつながります。
当院では、虫歯や歯周病になった原因を探り、治療後に再発・重症化しないようにするため、生活習慣のアドバイスや定期的なメインテナンスを行っています。
患者様のリスクに応じて来院間隔をご提案しています。当院は「かかりつけ歯科医機能強化型歯科診療所」に認定されておりますので、保険診療で月に1回、虫歯や歯周病の重症化予防管理(メインテナンス)を行うことができます。

また、ご自宅でのお口のケアに「ポイックウォーター」の使用をおすすめしております。
ポイックウォーターは純度の高い水と塩のみを電気分解して生成していますので、どなたにも安全です。
スタッフが詳しくご説明しますので、安心してご使用頂けます。
歯周病治療
歯周病は歯を支えている顎の骨が溶ける病気です。日本人の80%以上が感染していると言われており、初期の段階では自覚症状がなく進行していきます。歯を失う原因の1位であり、しかも歯周病は様々な全身疾患の原因になっていることが報告されています。
歯周病の症状
●歯磨きの時、出血する
●歯茎が下がり、以前より歯が長くなった
●歯と歯の間にものが詰まりやすくなった
●朝起きた時、口の中がネバネバしている
●口臭がする
●歯茎が赤く腫れている
●歯茎から膿が出る
●硬いものを噛みづらい、噛むと痛い
●歯がグラグラする
●歯が抜けた

歯周病と全身疾患との関わり
●糖尿病
●狭心症・心筋梗塞
●肺炎
●がん
●認知症
●動脈硬化
●骨粗しょう症
●胎児の低体重・早産
●腎炎
●関節炎 など

当院の歯周病治療の流れ
検査・診断

●レントゲン検査
歯を支えている顎の骨の状態が分かります。

●歯周病検査
歯周ポケットの深さ・プラーク(バイオフィルム)の付着状況・歯の動揺度を検査することで歯周病の進行度が分かります。

●口腔内写真検査
お口の中の写真を撮影し、歯や歯茎の状態やお手入れの状況を患者様と一緒に確認します。ご自身では見づらい歯の裏や奥歯まで観察することができます。

●位相差顕微鏡による検査
歯周ポケットの中からプラークを採取し位相差顕微鏡で細菌の種類や活動性を観察します。
治療
歯周病は食生活や喫煙習慣・全身疾患などと密接に関係しています。また、お口のお手入れの状況や口呼吸などの習癖・かみ合わせの不調や清掃性の悪い修復補綴物などが歯周病を悪化させる 要因にもなっています。
まずは原因を探り、患者様とともに生活習慣や口腔環境の改善を図ります。さらに、プラーク(バイオフィルム・細菌の塊)や歯石の除去を行います。
重度の歯周病の場合は歯茎の切除などの外科処置を行うこともあります。
短期間での治療をご希望の場合は、レーザー治療の併用をおすすめしております。
歯周病の治療は患者様の協力が不可欠です。歯科衛生士が 患者様お一人お一人に合った清掃器具やブラッシング方法をご提案します。またご自宅でのポイックウォーターの使用をおすすめしております。

メインテナンス
歯周病の治療後は定期的なメインテナンスにて再発・重症化予防を行います。
患者様のお口や全身の健康状態、お手入れの状況に応じた来院間隔をご提案します。
一生、ご自分の歯で美味しく食事をするためのお手伝いをさせて頂きます。

小児歯科
当院はかかりつけ医として、こどもさんのお口が健全に成長するようお手伝いしたいと思っております。お口を健康に育てることは全身の健康にもつながります。
「虫歯や歯肉炎がなく、きれいな歯並びで思いっきり笑うことができる」そんなこどもを増やしたい、それが私たちの願いです。
食生活習慣や口呼吸、癖、姿勢など普段気づかずにやっていることが、こどもさんの健康に影響しています。治療を行う前にまずお話を伺って原因を探り、食生活習慣や習癖などについてお話しさせて頂きます。
また、妊娠中のお母さんの姿勢、母乳やミルクの与え方、離乳食の食べ方なども影響があります。当院では妊産婦検診を行い、これからママになる方へ情報提供やアドバイスをさせて頂いています。何か気になることがございましたら、お気軽にお尋ね下さい。

当院の小児歯科について
「泣かさない小児歯科」
こどもさんの成長に合わせ、歯科に慣れてから診療を行います。抑制治療は行っておりません。
歯医者さんに対して良いイメージを持って頂き、楽しく継続的に通って頂くことが大切だと考えています。
子育て経験のあるスタッフも多くおり、こどもさんの気持ちに寄り添った診療を心がけております。

虫歯予防・治療
食生活習慣が虫歯の発生に大きな影響を及ぼします。いつ・どのような飲食物を摂っているのかを伺い、虫歯の原因をお話ししたうえで、虫歯になりにくい環境づくりのアドバイスを行います。
また、リスクに応じてレーザーによる歯の質の強化やシーラント(奥歯の溝を予防的に塞ぐ処置)を行います。
すでに虫歯になってしまった場合は、通常のドリルを使った治療の他にレーザーを使った治療も行っております。
できるだけ歯を削らず、こどもさんに負担の少ない治療を心がけております。
定期健診により、虫歯予防や経過観察を行います。

歯並びについて
正しい歯並びに育てることは見た目が良いだけでなく、正しい咀嚼・発音・呼吸の仕方を育てることにつながります。
乳歯の段階から食事の仕方のアドバイスをさせて頂いています。また歯並びに影響する悪習癖の確認を行い、
必要に応じてお口のトレーニングなどの改善方法をご提案しています。
すでに問題がある場合は、できるだけこどもさんに負担のかからない矯正治療をおすすめしております。
少しでも気になることがありましたら、早めにご相談下さい。
マタニティ歯科
妊娠中は食の好みの変化や食生活の変化によりお口の中が虫歯になりやすい環境になっています。お口の中の唾液量も減り、細菌が活動しやすくなっています。
また、歯磨きが十分にできなかったり、ホルモンバランスが変化したりすることにより妊娠性歯肉炎になりやすく、歯茎が腫れたり出血したりしやすくなります。歯周病になると早産や低体重児出産の確率が高くなります。
当院では妊産婦検診を行っております。安定期に入ると虫歯や歯周病治療も可能です。
出産前にお口の環境を整えることは、生まれてくる赤ちゃんに虫歯菌や歯周病菌を移さないことにつながります。さらに、妊娠中のお母さんの姿勢や、授乳の仕方、離乳食の食べ方が歯並びにも影響を与えます。赤ちゃんが生まれる前に受診されることをおすすめします。

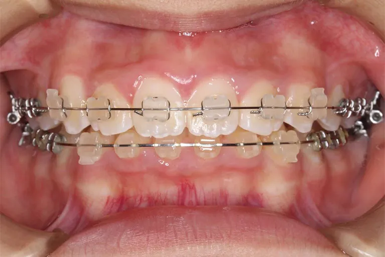
矯正歯科
矯正治療を行うことで見た目やかみ合わせが改善するだけでなく、虫歯や歯周病になりにくい環境になり、全身の健康にもつながります。
また、乳幼児期から行うことで、お口の健全な発育を促します。
矯正治療とは
ワイヤーやマウスピースなどの装置を使用して歯や顎の骨を弱い力でゆっくり動かし、正しい位置に移動する治療です。見た目の改善だけでなく、咀嚼や呼吸 、発音という機能の改善を図ります。
歯並びに影響を与えるもの
不正咬合になるのには様々な原因が考えられます。
口呼吸や癖、姿勢、生活習慣など普段気づかずにやっていることが、こどもさんの成長や歯並びに影響してくることがあります。さらに妊娠中のお母さんの姿勢、母乳やミルクの与え方、離乳食の食べ方なども歯並びに影響があります。
矯正を始めるタイミング
乳歯列や混合歯列期(乳歯と永久歯の両方がある時期)から始める矯正を1期治療といいます。
また、すべて永久歯に生え変わってから始める矯正を2期矯正といいます。
こどもさんのお口の状態により、最適なタイミングが異なります。親御さんが「おかしいな、だいじょうぶかな」と気づかれたタイミングで受診されてみて下さい。
「受け口(反対咬合)」は4,5歳の早い時期から治療を始めることをおすすめしております。
また、6歳前後から乳歯が抜けて永久歯に生え変わりますが、歯並びがガタガタになってきたなどの問題がある場合は、その時期からの治療をおすすめしております。
成人の方はいつでも矯正をはじめることができます。口元や歯並びが気になるなどお悩みがありましたら、まずはご相談下さい。
矯正の種類
床矯正

取り外し可能な矯正装置のため、こどもさんの負担が少ない治療法です。歯に弱い力をかけることで歯列が拡がり、ガタガタの歯並びを改善します。
お食事の際は外すので、食べかすが挟まることがなく、矯正治療による虫歯や歯肉炎の心配がありません。
また、痛みを感じることなく治療できます。
マウスピース矯正

取り外し可能な透明のマウスピース装置を使う矯正治療です。
薄く透明な装置のため、目立たず歯並びを改善することができます。
ワイヤー矯正

歯の表面にブラケットという装置を取り付け、ワイヤーを通し、弱い力をかけることで歯を移動させる矯正治療です。矯正専門医が行います。
金属が目立って気になる方は、白いセラミックのブラケットを使用することで、目立ちにくくなります。
虫歯治療
虫歯は歯が溶けてしまう病気ですが、特に食生活習慣と密接に関わっています。歯を失う原因の第2位です。
歯は一度削ってしまうと元に戻らないだけでなく、削った部分に虫歯菌が入り込み新たな虫歯になることがほとんどです。はじめは小さなプラスティックで詰める治療で済むことが多いですが、虫歯が再発するたびに詰め物が大きくなり、痛みが出た場合は神経を取る治療の後に被せ物(冠)になる可能性もあります。
歯の神経を取ると、虫歯の再発に気付きにくく、気づいた時には抜歯になることもあります。また、歯の根の先に炎症が起きて、根の再治療が必要になることもあります。さらに、歯にヒビが入ったり根が割れたりすることもあり、抜歯になることもあります。虫歯にならない・再発しない環境を作ることが一番大切です。
当院の虫歯治療の流れ
検査・診断

●口腔内写真検査
お口の中の写真を撮影し、歯や詰め物・冠の状態やお手入れの状況を患者様と一緒に確認します。
また、初期虫歯を写真にて記録することで経過観察を行います。
モニターで拡大して見えるため、小さな虫歯の早期発見が可能です。

●レントゲン検査
虫歯の深さや根の先の状態が分かります。
また、視診では分かりづらい歯と歯の間の虫歯の有無が分かります。

●ダイアグノデント
レーザー光を当てることにより、虫歯の進行度が分かります。
数値化されるため、初期虫歯の経過観察に大変有効です。
治療
まず虫歯ができた原因を患者様とお話ししながら考え、アドバイスさせて頂きます。特に食生活習慣の改善が必要なことが多く、健康のために良いと思って毎日飲んでいるものが虫歯の発生に関係している場合もあります。また、加齢やホルモンバランスの変化により虫歯ができやすくなることもあります。
まずは虫歯が進行・再発しない環境づくりが大切だと考えております。
●初期虫歯
歯の表面が溶けて(脱灰して)いるものの、再石灰化の可能性がある場合は、歯を削る処置は行わず再石灰化を促し経過観察を行います。
レーザーを当てて歯質を強化した後、ポリリン酸を塗布して再石灰化を促す方法もあります。

●すでに穴があいてしまった虫歯
虫歯になってしまった部分にう蝕検知液(虫歯になっている部分が染色される液)を使用しながら、必要最小限削合し修復します。「できるだけ歯を削らない治療」を心がけております。通常のドリルの他にレーザーを使用して虫歯を除去する方法があります。
また、神経に近い大きな虫歯の場合「できるだけ神経を取らない治療」を心がけております。レーザーを併用することで神経を取らずに治療できる可能性が上がります。
できるだけ金属を使わず、よく噛めるように修復します。

●神経をすでに取っている歯の虫歯
虫歯がひどく進んでいる場合でも「できるだけ歯を抜かない治療」を心がけております。
また、虫歯になっているだけでなく、神経を取った根の先が炎症を起こしている場合は歯根治療(感染根管治療)を行います。歯の根の中は非常に細く見えづらいため、拡大鏡やマイクロスコープを使用し、視野を明るく拡大した状態で治療を行います。
神経を取った歯は、ひびが入ったり根が割れたりする可能性があるため、被せ物(冠)の土台になる部分には金属を使わず、白い材料(レジンコアやファイバーコア)を使い、身体にも歯にも優しい治療を心がけております。

●麻酔について
治療時に「痛いのが怖いので必ず麻酔をしてほしい」という方や、「麻酔が苦手なのでできるだけ麻酔をしないでほしい」という方がおられます。
当院ではできるだけ患者様の希望にそった治療をしています。
麻酔を行う際は歯茎に表面麻酔を塗布し、注射針を刺す際の痛みを少なくしています。また、電動注射器と細い注射針を使用することで、薬液注入時に感じる痛みや圧迫感を軽減しています。

定期管理・メインテナンス
当院では口腔内写真・レントゲン検査やダイアグノデントの結果を記録し、患者様の虫歯に対するリスクに応じた予防と管理を行っております。虫歯が進行してしまった場合でも定期的に受診頂くことで、小さい虫歯の間に治療をすることができます。
また、詰め物や被せ物(冠)で修復している部分は、健全な歯に比べ虫歯ができやすいため、治療後のメインテナンスが必要です。
虫歯の進行・再発予防は何よりも虫歯を作らないような生活習慣にすることが大切です。良い習慣に変えることでお口が健康になるだけでなく、全身の健康にもつながります。メインテナンスを通じて健康のサポートをさせて頂きます。

詰め物・冠・入れ歯
詰め物・冠(被せ物)
歯の部分的な詰め物や歯の全体に被せる冠には種類がたくさんあり、素材の違いやお口の状態により、保険適用のものと適用外の自費診療になるものがあります。
当院では、患者様のお悩みやご要望をお聞きした上で、歯や咬み合わせの状態に応じて適切なものをおすすめしております。
白い詰め物や冠にすることで、見た目が良くなるだけでなく、金属アレルギーの改善や予防など健康美につながります。



入れ歯(義歯)
歯を失ってしまった部分を入れ歯で補うことでしっかり噛むことができるようになり、口元の印象が良くなります。当院ではできるだけ異物感が少なく、目立ちにくく、よく噛める入れ歯の作製を心がけております。
患者様のお悩みやお口の状態に応じて、素材の種類や入れ歯の形を選び、適切なものをご提案しております。
金属バネがなく、薄くて軽く優しい付け心地の入れ歯(ノンクラスプデンチャー)もございます。
今までの入れ歯でこんな悩みのある方には特におすすめです。
金属のバネが見えるのが気になって、思いっきり笑えない
入れ歯と歯茎の間に食べ物が挟まる
入れ歯と歯茎の段差が気になる
入れ歯を入れると異物感や締め付け感がある


ホワイトニング
歯のホワイトニングとは、薬剤を使って歯の色素を分解することで歯の色を白く明るくする方法です。
当院では、歯科医院で行うオフィスホワイトニングとご自宅で行って頂くホームホワイトニングの両方に対応しております。
患者様のご希望やお口の状態に合わせて最適な方法をご提案しております。
なお、虫歯や歯周病の治療が必要な場合はホワイトニングの前に治療を行います。

オフィスホワイトニング
医院で歯科衛生士が行うホワイトニングです。歯の表面に薬剤を塗布し特殊な光を当てることで、歯の色を白く明るくします。短期間で白くしたい方やご自宅で時間が取れない方におすすめです。
当院では体に安全なポリリン酸を使った「スーパーポリリンホワイトニング」を行っております。
ポリリンホワイトニングの特徴
ポリリン酸の効果で歯質が強化される(虫歯予防)
施術中や術後に歯がしみにくい(知覚過敏を起こしにくい)
術後の食事制限が不要
自然な白さになる
歯を傷めない
汚れが付きにくくなる

ホームホワイトニング
ご自宅で数時間、マウストレーにホワイトニングジェルを入れてお口の中にセットすることで歯の色を徐々に白くしていくホワイトニングです。
ご自身のペースでいつでもどこでも行えますので、度々来院できない方におすすめです。
ホワイトニングジェルは厚生労働省に認可された、安全な材料です。

訪問歯科
お身体が不自由な方やご病気などで歯科医院に通院が困難な方は、当院のスタッフがご自宅や病院・入居施設に伺い、歯科治療を受けて頂くことができます。
訪問歯科では各種保険証(健康保険証・介護保険証・その他医療証)をご利用頂けます。
詳しくは当院にお問い合わせ下さい。
診療内容
お口のケア・リハビリ
口腔内を歯科衛生士が専門的にクリーニングします。
お口の中を清潔な環境にし、さらに口腔のリハビリを行うことで、誤嚥性肺炎を予防します。
いつまでも口から美味しく食べられるようサポート致します。
虫歯の治療
歯が痛む、しみる、詰め物が取れた、歯が欠けたなどお困りの時は、虫歯の治療を行います。
歯周病の治療
歯茎から血や膿が出る、歯がグラつく、口臭がするなどお困りの時は、歯石除去などの歯周病治療を行います。
入れ歯の調整・作製
入れ歯が合わない、壊れたなどでお困りの時は入れ歯の調整や修理を行います。
また、入れ歯を新しく作製することもできます。
